028 276 63808

info@causewaydental.com

invisalign north coast ireland

The Clear Alternative to Braces

TRIOCLEAR

If you're looking for an innovative way to straighten your teeth, clear aligners may be the solution for you. Clear aligners offers a comfortable and discreet way to achieve a beautiful and straight smile.

What is a clear aligner?

Clear aligners are a series of clear, removable aligners that are custom-made for your teeth. These aligners gradually shift your crooked or misaligned teeth into the desired position over time without the need for brackets or wires that come with traditional braces.

How does it work?

The Clear aligners process starts with a consultation with your dentist. The dentist will evaluate your teeth and determine if clear aligners are right for you. If you're a good candidate, the dentist will take a digital scan of your teeth and create an image of your mouth.

Using this 3D image, the dentist will design a treatment plan that outlines how your teeth will shift over time. You'll receive a series of aligners, each one slightly different from the last, teach will need to be worn for about two weeks at a time.

As you progress through the series of aligners, your teeth will gradually shift into the desired position. You'll need to wear your aligners for 20-22 hours a day, removing them only to eat and brush your teeth.

We offer membership options to help you save on the cost of some treatments (View our membership plan )

The benefits of clear aligners

Discreet:

Clear aligners are virtually invisible, so you won't have to worry about metal brackets and wires.

Comfortable:

Clear aligners are made of a smooth, comfortable material that won't irritate your mouth.

Removable:

Clear aligners are removable, so you can eat your favourite foods and brush your teeth without any hassle.

Effective:

Clear aligners are an effective way to straighten your teeth and achieve a beautiful smile.

Who is a good candidate for Clear aligners?

If you're looking for an innovative way to straighten your teeth, clear aligners may be the solution for you. Clear aligners offers a comfortable and discreet way to achieve a beautiful and straight smile.

What is a clear aligner?

Clear aligners can be a great option for many patients. However, it may not be the best choice for everyone. In general, Clear aligners can be used to treat the following orthodontic issues:

  • Overbite
  • Underbite
  • Crossbite
  • Crowded teeth
  • Gaps between teeth

Meet Eimear

Eimear at Causeway Dental will be able to evaluate your teeth and determine if clear aligners are right for you.



GET IN TOUCH ABOUT TRIOCLEAR

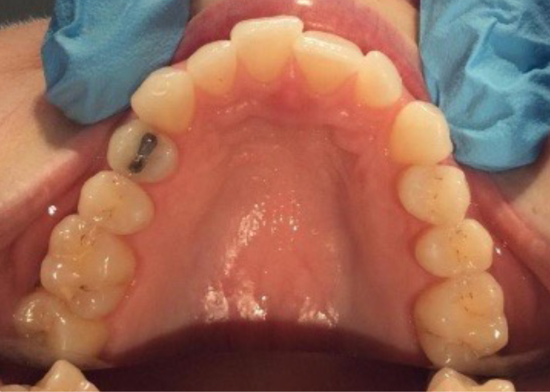
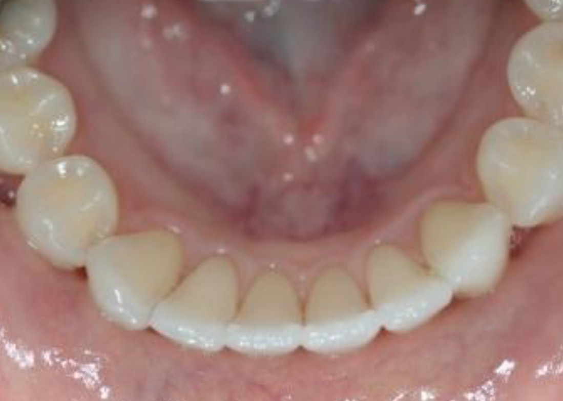
LOOK HOW AMAZING THESE RESULTS ARE

THE RESULTS


GET IN TOUCH

Please fill in your details below and a member of our team will be in touch with you shortly. We look forward to seeing you soon.



OPENING HOURS

Monday
9am-5:30pm
Tuesday
9am-7:00pm
Wednesday
9am-5:30pm
Thursday
9am-5:30pm
Friday
9am-4:30pm

Become A Member Of Our Family

If you choose to become a regular Causeway Dental patient we offer a wonderful Membership Plan to make sure you get the most for your money.

MEMBERSHIP BENEFITS